大切なお子さまの将来を見据えた歯並び改善 大切なお子さまの将来を見据えた歯並び改善

小児矯正、
いつ始めますか?

実は、小児矯正を受けたご家庭の64.5%が
「もっと早く始めればよかった」
と感じていることをご存じですか?

実際の治療開始時期よりも、
小学生のうちに始めたかった
という声が多数を占めています。

「もっと早く相談していれば…」
そう感じる親御さんは、
決して少なくありません。

さらに、矯正治療を終えたお子さんと保護者の89.6%が
「治療を受けてよかった」と回答
しており、見た目の改善だけでなく、
性格や生活習慣の変化など、心理面での良い影響も報告されています。

早めのご相談が、
お子さまの未来を
大きく変えるかもしれません。

引用:矯正歯科治療後における患者および保護者へのアンケート調査

歯並びのお悩みは
当院にお任せください!
これまで多く患者様からお喜びの声
いただいております!

矯正は早い段階で始めることが理想的です。

歯並びが乱れる主な原因は、
「歯と顎の大きさのバランスが悪い」ことです。
子どもの時期に行う矯正治療では、
歯並びや噛み合わせに悪影響を与える
口呼吸や舌の癖、唇の使い方といった筋肉の機能の問題を整えることができます。
成長期は体の発育が活発なため、
その成長の力を活かした矯正治療が可能です。
幼少期だからこそできる治療であり、
だからこそ得られるメリットもたくさんあります!

まずはご相談ください。
お子様将来
を見据えた
「小児矯正」に
こだわります

こんにちは。
BiVi歯科・矯正歯科の武川 泰久です。
お子さまの歯並びや噛み合わせに
不安を感じていらっしゃる方も多いかと思います。
当院では、お子さま一人ひとりのお口の状態やご家族のご希望に合わせて、丁寧な矯正治療をご提案しています。
「いつ始めるのがベスト?」「痛みはあるの?」「費用はどれくらい?」といった疑問やご不安も、どうぞ遠慮なくご相談ください。
まずはお気軽にカウンセリングにお越しいただければと思います。

BiVi歯科・矯正歯科 院長 武川 泰久

略歴

  • 群馬大学付属幼稚園小学校卒
  • 英国 Martin school 留学(一年間)
  • 獨協埼玉高校卒
  • 明海大学歯学部歯学科 卒業
  • 東京医科歯科大学 咬合機能矯正学、
    う蝕制御学分野研修医修了
  • 2006年~都内医療法人にて
    勤務9年間の勤務の中で理事を歴任
  • 2009年~2013年 埼玉県内矯正歯科勤務
  • 2013年 BiVi歯科・矯正歯科開業
  • 2013年~2015年ニューヨーク大学
     (審美・インプラント科)卒後
      研修プログラム卒業
  • 2016年 医療法人社団武美会設立
    (法人化へ) 理事長就任

所属・資格

  • 日本成人矯正歯科学会 認定医
  • 日本歯周病学会認定 歯周病専門医
  • 日本顎咬合学会 かみ合わせ 認定医
  • インビザラインドクター(アライン社米国) 認定医
  • 厚生労働省認定 研修指導医
  • 東京医科歯科大学 最優秀研修医賞受賞
  • 東京SJCD平林賞2015
  • 東京SJCDアワード2024受賞
  • 他多数 所属

POINT 「日本成人矯正歯科学会認定医」とは?

「日本成人矯正歯科学会認定医」取得が
難しい理由と患者様への安心の証

矯正治療を担当する歯科医師の中でも、「日本成人矯正歯科学会 認定医」はごく一部の限られた歯科医師にしか与えられない、非常にハードルの高い資格です。
その理由は、単なる年数や経験だけではなく、臨床経験・専門研修・学会在籍年数・厳格な審査基準をすべて満たす必要があるからです。
実際に、国内の歯科医師約10万人のうち、認定医は約250人。つまり、わずか0.25%。
400人に1人しか取得できていない極めて希少な資格です。

認定医になるには、これだけの条件を
満たす必要があります。

  • 歯科医師免許の保有はもちろんのこと、
  • 学会に5年以上所属
  • 専門の研修機関または矯正歯科医療機関に5年以上勤務し、十分な臨床経験を積んでいること
  • もしくは大学病院などで2年以上の専門研修を修了していること
  • そして、学会が実施する認定試験に合格すること

これらをクリアするには、最低でも5年以上の継続的な研鑽と、専門的な知識・技術・倫理観が求められます。

なぜ認定医が
ここまで厳しく評価されるのか?

矯正治療は、ただ歯を並べるだけの治療ではありません。
顎の位置や噛み合わせ、さらにはお顔全体のバランスにも影響する非常に繊細かつ複雑な治療です。

患者様の将来にわたる健康と笑顔を守るためには、専門的な知識に加え、長年の経験と正確な診断力が求められます。
そのため、日本成人矯正歯科学会では、信頼できる矯正医のみを「認定医」として認定しているのです。

矯正の治療費
について

お口の状態やご希望に合わせて選べるよう、
3種類の治療プランをご用意しました。
全顎の矯正はもちろん、将来のための予防的な矯正にも対応しています。

※横にスクロールできます

前歯矯正プラン 片顎矯正プラン 両顎矯正プラン

前歯(上の4本)
の将来のための予防的な矯正

上顎または下顎の矯正

両顎の矯正
総額 ¥88,000
(一般的な相場:約20万円)
総額 ¥385,000
(一般的な相場:約55万円)

なぜBiVi歯科矯正歯科が
選ばれるのか?

1. 虫歯治療もワンストップ

2. 矯正認定医が常駐/
小児矯正専門の安心サポート体制

3. 後戻りしない永久歯の
成長管理まで見据えたサポート

1. 虫歯治療もワンストップ

2. 矯正認定医が常駐/
小児矯正専門の安心サポート体制

3. 後戻りしない永久歯の
成長管理まで見据えたサポート

親御さんにお伝えしたい
お子様の矯正のメリット

Merit01

見た目だけでなく、
正しく噛める機能も整う

小児矯正では歯並びだけでなく、かみ合わせや顎のバランスも整えます。見た目が美しくなるのはもちろん、食べ物をしっかり噛めることで消化を助け、健康的な体づくりにもつながります。

Merit02

発音や呼吸、
口周りの筋機能が改善される

矯正治療によって舌や唇の使い方が正しくなると、発音がクリアになったり、口呼吸の改善にもつながります。これは大人になってからでは得られにくい、小児期特有の大きなメリットです。

Merit03

顎や顔の健やかな成長を促し、
将来の治療負担を軽減

成長期にしかできない矯正は、顎の正しい発育を促し、将来の抜歯や外科的処置のリスクを減らす可能性があります。早期の対応によって、将来の治療がより少なく、簡単になることが期待されます。

患者様の「ニーズ」に
応える

選べる矯正治療

  • 拡大床矯正装置

    取り外せる矯正装置です。歯磨きなどの際に制限を受けませんので、快適な矯正となります。

  • クリア矯正目立たないワイヤー矯正

    歯の表面にワイヤーをかけるものです。歯にかかる力が調節され、顎骨の成長が誘導されます。

  • インビザラインファースト

    成長期のお子さま向けに作られた、透明に近く目立ちにくいマウスピース型の矯正装置です。

  • マイオブレース

    成長期に多い口呼吸や舌の癖を改善しながら行う、マウスピース矯正システムです。

  • デーモンシステム

    このシステムは治療期間の短縮(小児であれば半年〜1年)と痛みの軽減が特徴です。

まずは矯正カウンセリングでご相談ください

BiVi歯科・矯正歯科には、埼玉県八潮市だけでなく、東京・千葉・茨城・全国から、多くの方が矯正治療についてご相談にいらっしゃいます。
「自分に合った矯正方法がわからない」「費用や治療期間が気になる」などのお悩みをお持ちの方も、
矯正相談で疑問や不安を解消できます。
矯正治療は、しっかりと納得した上で始めることが大切です。
まずはお気軽に矯正相談へお越しください。
あなたに最適な治療プランをご提案いたします。

BiVi歯科・矯正歯科で
実施した
小児矯正の治療例

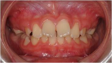
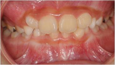
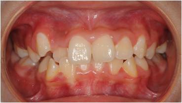
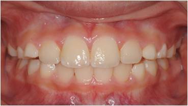
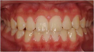
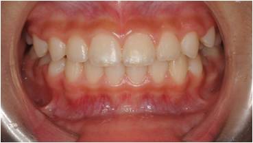
CASE.01 【8歳の男子】
拡大床による
小児矯正治療

  • 術前

    術前
  • 術後

    術後

前歯の著しい出っ歯(上顎前突)が認められ、審美的・機能的な改善のために矯正治療を行いました。上下顎の拡大と前歯の後退を目的に、早期矯正治療を開始しました。

治療期間 1年6ヶ月
治療回数 18回
抜歯の有無 無し
使用矯正装置 拡大床+マルチブラケット装置
治療費 30万円(税込)
治療のリスク ・後戻り防止のため保定装置の継続使用が必要
・歯磨き不良による虫歯リスクに注意

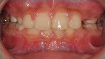
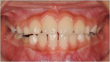
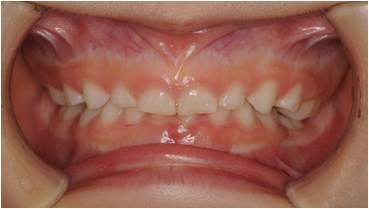
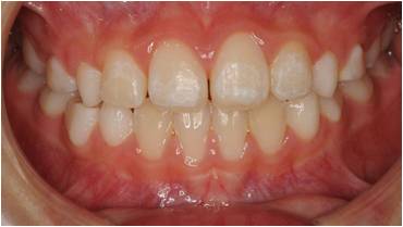
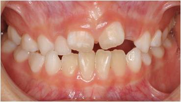
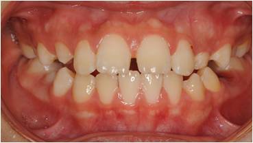
CASE.02 【10歳の女子】
乱ぐい歯の小児矯正治療

  • 術前

    術前
  • 術後

    術後

乱ぐい歯の小児矯正治療(10歳の女子)の治療前後の写真です。全顎矯正によって歯列・咬み合わせを綺麗に整えました。叢生(ガタガタ歯並び)・前歯の重なりの大幅改善が見られる症例です。

治療期間 1年6ヶ月
治療回数 12回
抜歯の有無 無し
使用矯正装置 拡大床+マルチブラケット装置
治療費 40万円(税込)
治療のリスク 保定装置使用の継続、ブラッシング指導など

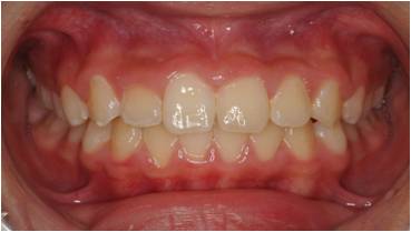
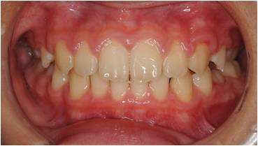
CASE.03 【7歳の女子】
乱ぐい歯の小児矯正治療

  • 術前

    術前
  • 術後

    術後

乱ぐい歯の小児矯正治療(7歳の女子)の治療前後の写真です。矯正治療によって上下の歯の乱れ、前歯のねじれが改善されました。

治療期間 1年
治療回数 9回
抜歯の有無 無し
使用矯正装置 拡大床+マルチブラケット装置
治療費 30万円(税込)
治療のリスク ・歯列が整うまでの期間に個人差がある
・歯磨きの徹底が必要(虫歯・歯肉炎予防)

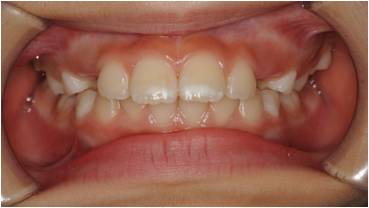
CASE.04 【8歳の男子】
拡大床による
小児矯正治療

  • 術前

    術前
  • 術後

    術後

拡大床の小児矯正治療(8歳の男子)の治療前後の写真です。矯正治療によって正中離開(前歯のすきま)と叢生(歯のガタガタ)が改善されました。

治療期間 1年
治療回数 4回
抜歯の有無 無し
使用矯正装置 拡大床
治療費 30万円(税込)
治療のリスク ・舌癖
・口呼吸
・保定装置不使用による後戻りのリスクあり

CASE.05 【9歳の女子】
拡大床の小児矯正治療

  • 術前

    術前
  • 術後

    術後

拡大床の小児矯正治療(9歳の女子)の治療前後の写真です。矯正治療によって上顎の前突と前歯のガタガタが改善し、見た目が自然に整いました。

治療期間 1年
治療回数 9回
抜歯の有無 無し
使用矯正装置 拡大床
治療費 40万円(税込)
治療のリスク ・保定装置使用の徹底
・口腔衛生管理が必要

CASE.06 【8歳の女子】
出っ歯の小児矯正治療

  • 術前

    術前
  • 術後

    術後

出っ歯の小児矯正治療(8歳の女子)の治療前後の写真です。矯正治療によって歯並びが改善されました。

治療期間 -
治療回数 -
抜歯の有無 無し
使用矯正装置 -
治療費 -
治療のリスク ・歯列が整うまでの期間に個人差がある
・歯磨きの徹底が必要(虫歯・歯肉炎予防)

CASE.07 【10歳の男子】
出っ歯の小児矯正治療

  • 術前

    術前
  • 術後

    術後

出っ歯の小児矯正治療(10歳の男子)の治療前後の写真です。矯正治療によって上顎前突(出っ歯)+前歯の間隙とガタつきの改善、見た目の印象も大きく改善しました。

治療期間 1年6ヵ月
治療回数 9回
抜歯の有無 無し
使用矯正装置 ヘッドギア+マルチブラケット装置
治療費 50万円(税込)
治療のリスク 後戻り対策として保定装置の装着継続が重要

CASE.08 【7歳の女子】
受け口の小児矯正治療

  • 術前

    術前
  • 術後

    術後

受け口の小児矯正治療(7歳の女子)の治療前後の写真です。矯正治療によって下顎前突(受け口)と上顎の狭さが改善され、正しい咬合に導かれています。

治療期間 1年
治療回数 6回
抜歯の有無 無し
使用矯正装置 プレオルソ
治療費 6万円(税込)
治療のリスク ・後戻り防止のため保定装置の継続使用が必要
・ブラッシングの徹底

CASE.09 【10歳の女子】
開咬の小児矯正治療

  • 術前

    術前
  • 術後

    術後

開咬の小児矯正治療(10歳の女子)の治療前後の写真です。矯正治療によってガタガタした歯列・前歯のねじれ・噛み合わせのズレが改善され、全体的な歯列と咬合が整いました。

治療期間 1年6ヵ月
治療回数 6回
抜歯の有無 無し
使用矯正装置 マルチブラケット装置
治療費 40万円(税込)
治療のリスク 咬合の安定維持には保定装置の長期使用が推奨される

お子さまの気持ちに寄り添った
BiVi歯科・矯正歯科だから出来ること

1. 親御さん同席だから安心

お子さまの立場で見た場合、知らない人にお口の中を治療されるのはとても恐怖を感じるものです。このため、当院では痛みがひどい場合を除いて、すぐに治療を開始しません。お話したり、治療器具を触ってもらうなどしながら、心理的な壁を取り除く配慮を行ないます。

2. お子さま目線の治療説明

当院では、親御さまだけでなく、お子さまにも治療の説明をさせていただきます。もちろんわかりやすくイメージできるようなものを心がけます。こうすることで、なぜ歯の治療が必要なのか、治療することでどうなるのかなどを感じ取ることができ、歯磨きの意識なども高まります。

3. 顎の発育面のご提案(咬合誘導)

咬合誘導(こうごうゆうどう)とは、お子さまの顎骨の成長を適切に誘導していくものです。顎骨が適切に発達すれば、お口の中も適度に広がり、歯並びも整います。お子さまの歯は常に成長を続けていますので、今歯並びが良くても後に乱れてしまうこともあります。このため、状況に合わせて咬合誘導もオススメしています。

1. 親御さん同席だから安心

お子さまの立場で見た場合、知らない人にお口の中を治療されるのはとても恐怖を感じるものです。このため、当院では痛みがひどい場合を除いて、すぐに治療を開始しません。お話したり、治療器具を触ってもらうなどしながら、心理的な壁を取り除く配慮を行ないます。

2. お子さま目線の治療説明

当院では、親御さまだけでなく、お子さまにも治療の説明をさせていただきます。もちろんわかりやすくイメージできるようなものを心がけます。こうすることで、なぜ歯の治療が必要なのか、治療することでどうなるのかなどを感じ取ることができ、歯磨きの意識なども高まります。

3. 顎の発育面のご提案(咬合誘導)

咬合誘導(こうごうゆうどう)とは、お子さまの顎骨の成長を適切に誘導していくものです。顎骨が適切に発達すれば、お口の中も適度に広がり、歯並びも整います。お子さまの歯は常に成長を続けていますので、今歯並びが良くても後に乱れてしまうこともあります。このため、状況に合わせて咬合誘導もオススメしています。

治療の流れ

  • 1 ご来院・受付

    ご来院の際には診察券をお持ち下さい。

  • 2 歯並び矯正相談

    患者さまの歯並びを確認しながら、現在の歯並びのお悩みや治療に関する疑問などをお伺いします。また、費用や大体の治療期間についてもご説明いたします。

  • 3 精密検査

    レントゲン撮影、虫歯の有無、3D光学スキャナーiTeroによる口腔内データの採取など、お口や骨格の状態をチェックします。

  • 4 シミュレーション・治療計画

    精密検査のデータを基に歯がどのように動くのか、治療後の歯並びなどをシミュレーション画像で確認していただき、患者さまのご要望を考慮した治療計画を立案します。

  • 5 治療前のケア・治療

    矯正の前にお口の中をクリーニングします。また、虫歯や歯周病が確認できた場合はそちらの治療を優先して行い、口腔内環境を整えます。

  • 6 矯正開始

    矯正をお口に装着し、歯を少しずつ動かしていきます。経過チェックのため、定期的に歯科医院へご来院いただきます。

  • 7 治療完了・保定装置

    矯正治療完了後は、歯の後戻りを防止するため、保定装置(リテーナー)を装着して、歯の位置を固定します。また、ホワイトニングが2回分無料ですので、歯の色も白くすることができます。

初めての方へ
まずは歯並び矯正相談へ

所要時間
30
相談費用
無料

お支払い方法について

保険診療

:現金でのお支払い

自費診療

:クレジットカード※詳しくはスタッフまでご相談ください。

医療費控除について

「自由診療=すべて自己負担」と思われがちですが、実は医療費控除の対象となるケースもあります。
例えば、噛む・話すなど機能的な回復を目的とした治療は、自由診療でも医療費控除の対象になりやすいです。
医療費控除とは、年間の医療費が一定額を超えた場合に、納めた税金の一部が戻ってくる制度で、確定申告を行えば住民税の軽減や還付金を受け取ることができます。

医療費控除によって軽減される
税額のシミュレーション

横にスクロールしてご覧ください。

課税所得額 1年間で支払った医療費の合計
保険金などで補填される金額がない場合
30万 100万 200万
150万円 30,900円 135,000円 225,000円
300万円 40,000円 180,000円 337,500円
500万円 60,000円 270,000円 550,000円
800万円 66,000円 297,000円 601,500円
1000万円 86,000円 387,000円 727,000円
2000万円 100,000円 450,000円 950,000円

よくある質問

矯正相談は無料ですか?
無料で矯正相談いただけます。
矯正治療では抜歯しますか?
矯正治療では、必ずしも抜歯になるとは限りません。患者様の口腔内状況や症状に応じて、治療効果を高めると判断した場合には、抜歯のご提案をいたします。

24時間
ネット予約受付中

BiVi歯科・矯正歯科には、埼玉県八潮市だけでなく、東京・千葉・茨城・全国から、多くの方が矯正治療についてご相談にいらっしゃいます。
「自分に合った矯正方法がわからない」「費用や治療期間が気になる」などのお悩みをお持ちの方も、
矯正相談で疑問や不安を解消できます。
矯正治療は、しっかりと納得した上で始めることが大切です。
まずはお気軽に矯正相談へお越しください。
あなたに最適な治療プランをご提案いたします。

診療時間
9:30-13:00 × × ×
14:00-17:30 × × ×
休診日
木曜日 / 日曜 / 祝日
診療時間
9:30~13:00 / 14:00~17:30

※電話受付は午前は12:30/午後は17:00まで
となります
(以降留守番電話になります)

埼玉県八潮駅からすぐの歯医者 BiVi歯科・矯正歯科
〒340-0822
埼玉県八潮市大瀬6-1-6 BiVi八潮3F

つくばエクスプレス「八潮駅」
南口より 徒歩30秒
埼玉県八潮駅からすぐの歯医者 BiVi歯科・矯正歯科